Wednesday, August 21, 2013

Intracerebral hemorrhage management

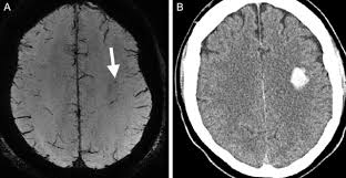
ent with an intracerebral hemorrhage will sometimes be admitted to the internal medicine service when there is a lack of surgical indication, and/or additional medical problems. As a result, internists need to be familiar with how to manage this condition with the support of neurologists and neurosurgeons. Focusing on the medical management of patients, several categories of therapy have been studied: blood pressure control, coagulation, hyperglycemia and others.


Balancing blood pressure in a patient with ICH attempts to control intracerebral pressure (ICP) and cerebral perfusion pressure (CPP). Hypertension is associated with larger volume ICH and hence functional impairment, and as a result its suspected that lowering blood pressure may improve outcomes. The trade-off being that lowering the blood pressure too much would impair cerebral perfusion and would cause hypoxia in susceptible brain tissue. A study looking at CPP in patients treated with anti-hypertensives in ICH found that dropping systemic BP didnt alter CPP. Though the patients in the study were not significantly hypertensive to begin with. The current guidelines recommend targeting a sysBP of less than 160/90 in patients who do not have evidence of high ICP. If high ICP is presents an ICP monitor may be considered to guide CPP.

A recent study from June 2013 (INTERACT2) examined whether targeting a systolic of less than 140 would be superior to less than 180 in patients with ICH. Overall, there was no statistically significant difference between the two group (p=0.06) in terms of mortality. Functional scores may have been slightly improved in the intensive therapy group. Subgroup analysis showed a possible improvement in outcomes in patients without preexisting hypertension.

Hyperglycemia is associated with worse outcomes in patients with ischemic/hemorrhagic stroke. A general target of less than 10mmol is thought to be appropriate according to current guidelines. Patients with ICH associated with anti-coagulant medications are more likely to have worse outcomes. Treatment with activate FVII has been studied and was associated with less hematoma expansion, and decreased mortality in soem studies. Factor aVII does place patients at increased risk for clotting and should not be given lightly. At certain hospitals, only neurosurgeons and transfusionists can approve the use of this medication. Other less helpful treatments that have been pursued include corticosteroids, which were actually associated with an increased rate of infection.

See the below guidelines for details.
ICH guidelines
INTERACT 2
See the below guidelines for details.
ICH guidelines
INTERACT 2


2 comments :

Unknown said...
This comment has been removed by the author.
Unknown said...
This comment has been removed by the author.